Restauraciones Dentales

Boadilla / Villaviciosa de Odón

Vuelve a conseguir la sonrisa que recuerdas.

En dientes afectados por caries, trauma y dientes destruidos, se pueden hacer para reparar el diente restauraciones estéticas, libres de metal, que nos permiten recuperar la sonrisa que el paciente tenía antes del problema dental.

Existen dos tipos de técnicas de restauración dental posibles:

  • Restauraciones directas: consiste en un procedimiento únicamente intra-oral que solo requiera una visita.
  • Restauraciones indirectas: consiste en varias visitas y precisa de la colaboración del laboratorio protésico.

En La Clínica Dental El Bosque hacemos todo tipo de restauraciones estéticas dentales ya sea con composite o con porcelana dental. Contamos con los mejores profesionales y materiales para realizarlas, y con toda la experiencia para devolverte tu sonrisa.

restauración dental de incisivo superior derecho con color similar

Obturaciones / Empastes.

Popularmente conocidas como «empastes», estas restauraciones pueden realizarse con una variedad de materiales. Se colocan inicialmente en estado blando y luego se endurecen en la boca, adaptándose perfectamente a la pieza dental que necesitan cubrir.

Incrustraciones:

Estas pequeñas piezas rígidas, hechas de metal, porcelana o resina, reemplazan partes perdidas del diente. Si bien su función es principalmente estética, también proporcionan una restauración duradera y funcional.

Coronas:

Las coronas dentales, también llamadas fundas coronarias, son otra opción popular para la restauración dental. Fabricadas a medida para imitar la anatomía natural del diente, estas coronas se colocan sobre dientes previamente preparados, proporcionando una restauración durable y estéticamente atractiva.

Frentes Laminados (Carillas)

No se puede hablar de restauraciones dentales sin mencionar las carillas, conocidas por su facilidad de fabricación y resultados estéticos impresionantes. Fabricadas generalmente con porcelana, estas láminas cubren la parte frontal de los dientes, siendo ideales para restaurar piezas oscurecidas, decoloradas o con otros defectos estéticos en el esmalte dental. Las carillas no solo mejoran la apariencia de los dientes, sino que también protegen y refuerzan el esmalte, proporcionando una solución estética y funcional a la vez.

Ventajas de las restauraciones dentales.

 La reconstrucción dental ayuda a restaurar la estructura y la funcionalidad de los dientes dañados, utilizando técnicas y materiales específicos para mejorar su salud y apariencia.

  • Restauración de la funcionalidad dental
  • Mejora la estética dental
  • Previene el empeoramiento de problemas dentales
  • Conservación de la estructura dental
  • Durabilidad y resistencia

Materiales de restauración dental

Amalgama: Es una mezcla de metales (principalmente mercurio, plata, estaño y cobre) que se ha utilizado durante décadas para obturaciones dentales. Aunque es duradero y económico, su color plateado es menos estético que otras opciones.

Resina compuesta: Este material es una mezcla de plástico y partículas cerámicas que se puede hacer coincidir con el color de los dientes naturales. Se utiliza comúnmente para obturaciones en dientes visibles debido a su aspecto estético.

Porcelana: Es un material cerámico altamente estético que se utiliza para fabricar coronas, carillas y incrustaciones. La porcelana se adapta bien al color de los dientes naturales y es muy resistente al desgaste.

Metal (oro, titanio): Aunque menos común en la odontología moderna, el metal todavía se utiliza en ciertas situaciones, como en coronas y puentes. El oro y el titanio son opciones duraderas y biocompatibles, pero su color metálico los hace menos populares para restauraciones visibles.

Cerámica de zirconia: Es un material cerámico extremadamente resistente y estético que se utiliza cada vez más en coronas y puentes dentales. La zirconia es conocida por su durabilidad y capacidad para imitar la apariencia natural de los dientes.

Composite cerámico: Es una opción híbrida que combina las propiedades estéticas de la resina compuesta con la resistencia y durabilidad de la cerámica. Se utiliza principalmente en carillas y obturaciones estéticas.

  1.  

Casos

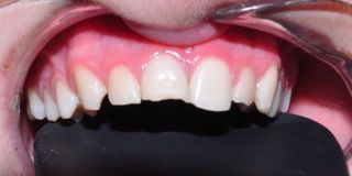
Un ejemplo de una reconstrucción llevada a cabo por la Dra. Prieto. El paciente acude a la consulta por rotura del incisivo superior derecho. Le reconstruimos el diente eligiendo cuidadosamente el color más parecido a su diente para dar aspecto lo más natural posible. 

El resultado habla por sí mismo, el diente reconstruido parece enteramente natural.

paciente que acude con rotura y desgaste dental y se le hace reconstrucción
restauración dental de incisivo superior derecho con color similar

 

Otro caso de reconstrucción de la Dra. Prieto. El siguiente paciente acudió a nuestro servicio de Urgencias 24h con un incisivo roto. Durante el tratamiento de urgencias, se le reconstruyó el incisivo con composite estético y el paciente se fue extremadamente contento con el diente reparado.

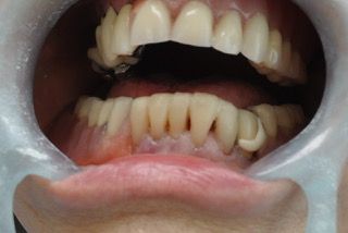
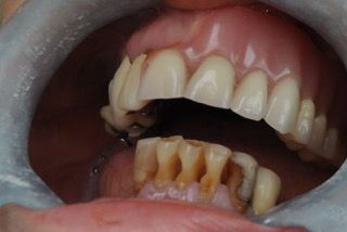
Este paciente acude a nuestra consulta porque quiere una solución para su dentadura inferior. No le gusta sus dientes anterio-inferiores y quiere ponerse dientes en el sector posterior ya que indica que no puede comer bien. Nos pide una alternativa a los implantes y la solución más conservadora para sus dientes anteriores.

Estudiamos su caso y, ajustándonos a lo que nuestro paciente quería, le propusimos reconstruir estéticamente con composite los dientes anterio-inferiores y una prótesis esquelética (metálica) con un gancho estético para dar mayor soporte a la prótesis.

Nuestro paciente quedó encantado con el resultado. Ahora puede comer y sonreir perfectamente.

La foto de después fue tomada a los 3 meses cuando acude a su revisión.El paciente ahora acude de forma regular a nuestras revisiones gratuitas. De esta manera podemos prevenir en vez de curar.

reconstruir esteticamente con composite dientes anterio-inferiores y prótesis esquelética

Anímate y ven a visitarnos

Nos encontramos en Madrid Oeste, entre Villaviciosa de Odón y Boadilla del Monte. Fácil aparcamiento y acceso desde la M-501 ¡Revisión y primera visita gratis! Ven a visitarnos, merece la pena.

    Resuelva sus dudas rápidamente a través del siguiente formulario de contacto ¡Le responderemos lo antes posible!

    Responsable: CLÍNICA DEB S.L.
    Finalidad: Recabamos sus datos con la finalidad de poder contactar con usted.
    Legitimación: Consentimiento.
    Destinatarios: Ninguno.
    Derechos: Puede ejercer sus derechos de acceso, rectificación, cancelación y portabilidad.