Recontorneado dental

Boadilla / Villaviciosa de Odón

El retoque ideal para tu sonrisa

El contorneado dental está indicado en personas que tan solo necesitan retoques pequeños para mejorar la estética de sus dientes. Por ello el contorneado es la técnica perfecta para personas que tienen una pieza dental un poco torcida, que sobresale más que otra o que tiene una forma demasiado puntiaguda. Como regla general, el contorneado dental se suele aplicar en los caninos superiores y los incisivos frontales.

Se trata de un procedimiento muy sencillo, pero de resultados muy llamativos, especialmente si lo combinamos con otros tratamientos complementarios como el blanqueamiento dental. Pero la amelo-plastia o contorneado dental no solo se usa con fines estéticos. También se emplea con fines terapéuticos para tratar lesiones iniciales de caries en molares y premolares.

El contorneado dental se realiza sin anestesia, ya que tan solo se realizan desgastes específicos y limitados en los dientes. Por su escaso carácter invasivo esta técnica no se emplea para problemas graves de tamaño, posición o forma. En esos casos se recomienda emplear técnicas como la ortodoncia.

Principales beneficios del contorneado dental:

  • Es un procedimiento totalmente indoloro ya que solo se trabaja sobre la superficie del diente.
  • Facilita la higiene oral al eliminar imperfecciones creadas por la acumulación de sarro causante de enfermedades periodontales.

Además del contorneado, también existen otros tratamientos que mejoran la apariencia de las piezas dentales, como el Blanqueamiento Dental o las carillas, que ayudan a obtener una sonrisa mucho más estética para que nunca más volvamos a tener miedo de sonreír.

Recontorneamiento Dental

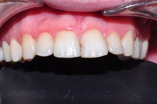
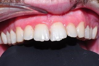
Caso real de nuestra clínica

Este paciente acudió a nuestra consulta para una revisión. Nos indicó que llevó ortodoncia en el pasado. Al ver la anatomía de sus dientes le propusimos realizar un poquito de counturing para mejorar su sonrisa.

Cuando vio que, no solo el procedimiento fue rápido y sencillo, si no que la diferencia es importante se alegró muchísimo de nuestra propuesta. Ahora le gusta mucho más su sonrisa.

foto de paciente con problema que solucionamos con recontorneado dental en Madrid
recontorneado dental

1. Evaluación Inicial

Primero, el dentista examinará tus dientes para determinar si el recontorneado es adecuado para ti. Este procedimiento es ideal para corregir pequeñas imperfecciones como bordes irregulares, dientes ligeramente desiguales o picados.

2. Planificación del tratamiento

Una vez que se decide realizar el recontorneado, el dentista planificará el procedimiento, discutiendo contigo tus objetivos y expectativas.

3. Proceso de recontorneado

  • El dentista usará instrumentos dentales de precisión, como fresas y limas, para remodelar el esmalte dental.
  • Se eliminarán pequeñas cantidades de esmalte de los dientes para corregir las imperfecciones y crear una forma más estética.
  • Es posible que se use una guía dental para asegurar una simetría adecuada y un resultado estético.

4. Pulido

Después de realizar los ajustes necesarios, se pulen los dientes para suavizar los bordes y darles un aspecto natural y brillante.

5. Seguimiento

Después del procedimiento, el dentista puede programar citas de seguimiento para asegurarse de que estés satisfecho con los resultados y para abordar cualquier problema que pueda surgir.

Anímate y ven a visitarnos

Nos encontramos en Madrid Oeste, entre Villaviciosa de Odón y Boadilla del Monte. Fácil aparcamiento y acceso desde la M-501 ¡Revisión y primera visita gratis! Ven a visitarnos, merece la pena.

    Resuelva sus dudas rápidamente a través del siguiente formulario de contacto ¡Le responderemos lo antes posible!

    Responsable: CLÍNICA DEB S.L.
    Finalidad: Recabamos sus datos con la finalidad de poder contactar con usted.
    Legitimación: Consentimiento.
    Destinatarios: Ninguno.
    Derechos: Puede ejercer sus derechos de acceso, rectificación, cancelación y portabilidad.