Empastes

Boadilla / Villaviciosa de Odón

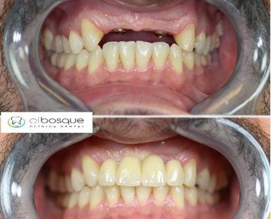
Prótesis sobre implantes

Las prótesis fijas sobre implantes pueden sustituir uno o varios dientes, sustituyendo las coronas de los dientes naturales perdidos. Suelen estar fabricadas de un material restaurador, que suele ser porcelana fusionada a una aleación de metal noble. Tenemos diferentes tipos de prótesis fija:

  • Prótesis fijas: Las prótesis fijas sobre implantes de circonio y metal cerámicas tienen las mismas características que las coronas de circonio y metal cerámica anteriormente explicadas en la sección de coronas.
  • Sobre-dentadura: Otro tipo de prótesis sobre implantes dentales que se puede realizar son las sobre-dentaduras que se pueden colocar apoyadas en 4 implantes que suelen ser suficientes para rehabilitar la zona edéntula de una manera implanto-muco-soportado tanto la arcada superior como la inferior de forma fija-removible o fija.
  • Híbridas: Las prótesis híbridas están indicada en aquellas personas edéntulas o desdentadas mandibulares que tienen una gran reabsorción ósea y, por tanto, en los que hay que reponer corona (diente) y reborde alveolar (encía). En estos casos de gran reabsorción ósea no está indicada una rehabilitación implanto-retenida ya que no disponemos de un buen sustrato mucoso.
prótesis sobre implantes dentales en Villaviciosa de Odón y Boadilla del Monte

Anímate y ven a visitarnos

Nos encontramos en Madrid Oeste, entre Villaviciosa de Odón y Boadilla del Monte. Fácil aparcamiento y acceso desde la M-501 ¡Revisión y primera visita gratis! Ven a visitarnos, merece la pena.

    Resuelva sus dudas rápidamente a través del siguiente formulario de contacto ¡Le responderemos lo antes posible!

    Responsable: CLÍNICA DEB S.L.
    Finalidad: Recabamos sus datos con la finalidad de poder contactar con usted.
    Legitimación: Consentimiento.
    Destinatarios: Ninguno.
    Derechos: Puede ejercer sus derechos de acceso, rectificación, cancelación y portabilidad.