¿QUÉ ES EL BRUXISMO?
El bruxismo es un trastorno que consiste en apretar y rechinar los dientes de forma involuntaria, tanto a lo largo del día como durante la noche, de manera regular, lo que puede causar daños en tus dientes como desgaste del esmalte e incluso de dentina llegando a exposición de la pulpa en casos muy graves. Además de estos trastornos también puede causar otros problemas como dolor mandibular, de oídos e incluso dolores frecuentes de cabeza o migrañas. A las personas que lo padecen se los denomina bruxómanos.
Por la noche, durante el sueño, el problema es más grave, ya que el paciente no es consciente de su acción y, por lo tanto, es todavía más difícil de controlar. Este tipo de bruxismo se considera una de las alteraciones del sueño o parasomnia. Sin embargo, incluso estando despiertas muchas personas tampoco se dan cuenta de que lo están haciendo, y son los que les rodean los que lo advierten.
¿CUALES SON LOS DESENCADENANTES DEL BRUXISMO?
Especialistas coinciden en que su principal desencadenante se sitúa en el plano psicológico debido al estrés o a un estado de agitación emocional, aunque pueden ser diversas las causas que lo desencadenen como:
Problemas en la musculatura mandibular.
Hábito de sueño.
Incapacidad de relajación.
Alimentación.
Maloclusión o apiñamiento dentario.
¿A QUIEN AFECTA EL BRUXISMO?
Afecta de manera indistinta a ambos sexos y a cualquier edad, pero suele darse de manera más frecuente entre los 15 y los 25 años.
En función de la manera en que se presionan los dientes el bruxismo puede ser:
– Excéntrico: los dientes realizan movimientos de delante a atrás causando un desgaste en el esmalte, afectando en mayor medida a los incisivos.
– Céntrico: los dientes se aprietan sobre un punto concreto y la zona que más se ve afectada son los cuellos de los dientes.
¿CUALES SON LOS SÍNTOMAS DEL BRUXISMO?
Uno de los principales síntomas que puede causar el bruxismo es el ejercer una excesiva sobrecarga en los músculos, tejidos y estructuras que rodean la mandíbula. Si se extiende en el tiempo puede convertirse en crónico y afectar en la articulación temporomandibular (que son dos articulaciones, una a cada lado de la cabeza, que unen la mandíbula con el cráneo y que nos permiten masticar). Los principales síntomas son:
– Dolor de cabeza.
– Dolor de oídos y acúfenos (sensaciones acústicas como zumbidos o tintineos, no causadas por un estímulo auditivo exterior)
– Dolor e inflamación de la articulación temporomandibular
– Dolor muscular.
– Sensibilidad a cosas dulces, frías y calientes.
¿COMO SE TRATA EL BRUXISMO?
El tratamiento idóneo va a estar siempre relacionado con la causa, ya que el objetivo es tratarlo desde la raíz. El odontólogo es el que determinará la causa potencial del bruxismo y, en función del daño dental y el desencadenante, posiblemente recomiende el uso de una férula de descarga nocturna prevenir sus efectos negativos, disminuir el dolor causado y tratar de evitar que se produzca un daño dental irreversible. Otras medidas que se pueden tomar para atacar la causa subyacente son:
– Realizar ejercicios de relajación para reducir el estrés.
– Evitar alimentos duros.
– Realizar tratamiento de ortodoncia.
– Dormir las horas recomendadas.
– Derivar a un fisioterapeuta especializado en articulación temporomandibular.
¿QUÉ ES UNA FERULA DE DESCARGA?
Son dispositivos de resina, creados a partir de unos moldes de nuestra propia boca, personales e intransferibles. Estos dispositivos ayudan a liberar la tensión acumulada durante el día y protegen las estructuras dentarias durante el apretamiento. Aunque la férula se suele colocar por la noche antes de dormir, se puede y debe llevar también durante el día en caso de los casos más graves. Ya que, como se mencionó antes, la férula no suprime el hábito del paciente de apretar los dientes, sino que evita sus efectos perniciosos y, al retirarla, pueden volver las molestias.
Una vez entregada y ajustada será necesaria una segunda visita al odontólogo a la semana para realizar los ajustes pertinentes y así conseguir el contacto oclusal deseado y evitar cualquier interferencia dental no deseada.
En La Clínica Dental El Bosque hacemos revisiones completas en las que incluimos examen de la ATM (Articulación de la mandíbula), y de la musculatura de la masticación.
Casos clínicos sobre bruxismo en nuestra clínica dental
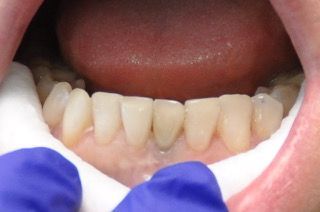
Esta paciente acude a la consulta con desgaste en los dientes anterior inferiores debido a su tendencia a apretar los dientes tanto durante el día como por la noche. La paciente nos indica que ya empieza a tener sensibilidad. A parte de la sensibilidad no presentaba ningún otro síntoma a nivel muscular o de la articulación temporomandibular.
Después de estudiar su caso le propusimos realizar los refuerzos dentarios con composite y colocar una férula de descarga para por las noches.Hoy la paciente conserva sus refuerzos dentarios gracias a la férula que usa por las noches y la sensibilidad ha desaparecido por completo.

