- TLF: 622 54 80 94
- TLF : 916 167 034
- info@clinicadentalelbosque.com
El bruxismo es un trastorno que consiste en apretar y rechinar los dientes de forma involuntaria, tanto a lo largo del día como durante la noche, de manera regular, lo que puede causar daños en tus dientes como desgaste del esmalte e incluso de dentina llegando a exposición de la pulpa en casos muy graves. Además de estos trastornos también puede causar otros problemas como dolor mandibular, de oídos e incluso dolores frecuentes de cabeza o migrañas. A las personas que lo padecen se los denomina bruxómanos.
Por la noche, durante el sueño, el problema es más grave, ya que el paciente no es consciente de su acción y, por lo tanto, es todavía más difícil de controlar. Este tipo de bruxismo se considera una de las alteraciones del sueño o parasomnia. Sin embargo, incluso estando despiertas muchas personas tampoco se dan cuenta de que lo están haciendo, y son los que les rodean los que lo advierten
 
															No se sabe cuál es la causa del bruxismo pero se considera que el estrés puede ser el responsable del trastorno en un gran número de casos. Generalmente el bruxismo no se asocia a ningún trastorno determinado, pero en otras ocasiones puede deberse a problemas neurológicos, psiquiátricos o a consumo de drogas. Lo que sí se sabe es que es más frecuente en adultos que en niños.
El tratamiento contra el bruxismo no va dirigido a cambiar el hábito, para eso en general son necesarios largos periodos de tratamiento de terapia. En su lugar, lo que hacemos es prevenir sus efectos negativos, disminuir el dolor causado y tratar de evitar que se produzca un daño dental irreversible.
Para evitar o frenar el daño que se produce en los dientes y disminuir la sobrecarga muscular causada por el bruxismo, se utiliza un dispositivo conocido como Férula de Descarga, que cumple la misión de proteger la dentadura de la presión que ejerce el paciente cuando los aprieta y rechina.
La Férula de Descarga está hecha de resina, es rígida, y se diseñada a partir del molde de sus dientes. Aunque la férula se suele colocar por la noche antes de dormir, se puede y debe llevar también durante el día en caso de los casos más graves. Ya que, como se mencionó antes, la férula no suprime el hábito del paciente de apretar los dientes, al retirarla, pueden volver las molestias.
En algunos casos, el problema remite de manera espontánea, pero, en aquellos que no es así, se hace imprescindible el uso continuado de la férula para minimizar los daños.
Cuando los dientes se aprietan solo durante el día, es más fácil modificar el comportamiento del paciente pero, si el bruxismo es por la noche, es mucho más difícil. La única forma de prevenir el bruxismo es intentar evitar la única causa conocida; el estrés o ansiedad. Un diagnóstico precoz es muy importante para evitar efectos secundarios y complicaciones del bruxismo, como el desgaste prematuro de los dientes.
En La Clínica Dental El Bosque hacemos revisiones completas en las que incluimos examen de la ATM (Articulación Tempo-Mandibular), examen de los músculos maseteros, temporales y pterigoideos lateral interno.
 
 
															 
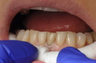
															Esta paciente acude a la consulta con desgaste en los dientes anterior inferiores debido a su tendencia a apretar los dientes tanto durante el día como por la noche. La paciente nos indica que ya empieza a tener sensibilidad. A parte de la sensibilidad no presentaba ningún otro síntoma a nivel muscular o de la articulación temporomandibular.
Después de estudiar su caso le propusimos realizar los refuerzos dentarios con composite y colocar una férula de descarga para por las noches.
Hoy la paciente conserva sus refuerzos dentarios gracias a la férula que usa por las noches y la sensibilidad ha desaparecido por completo.